A boldog mosolyhoz vezető út - páciens élmény
A félelem évei
Sokáig halogattam a fogorvoshoz járást. Valahányszor rágondoltam, rögtön összeszorult a gyomrom, mert rettegtem a kezelésektől.
Tudtam, hogy a szájhigiéniám nem a legjobb, és hogy a fogaim állapota messze nem ideális – de minden egyes korábbi fogászati élményem csak megerősítette bennem a félelmet. A legtöbb helyen kritizáltak, leszidtak, megszégyenítettek, hogy „hogy nézhetnek így ki a fogaim?”.
Ezek a szavak nagyon rosszul estek, és azt éreztem, nincs is értelme segítséget kérnem. Ezért évekig nem mertem rászánni magam, hogy elmenjek fogászatra.
Hogyan találtam rá a Nádor Dentalra?
A Nádor Dentalba végül egy különös kerülőúton jutottam el. Fodrász szalonunkban ismertem meg Németh doktort, aki közvetlenségével nyerte el a bizalmam és bíztam benne, hogy a Nádor Dental- Gondoskodó Fogászaton más lesz.
Összeszedtem a bátorságom, és bejelentkeztem.
Az első találkozás
Már az első találkozásnál éreztem, hogy jó helyen vagyok. Németh doktor kedves volt, közvetlen, és a humorával pillanatok alatt oldotta bennem a feszültséget.
Ami a legfontosabb: nem szidott, nem szégyenített meg, hanem együtt kereste velem a számomra legjobb megoldást. Ez a hozzáállás mindennél többet jelentett nekem.
A kezelések élménye
A hosszabb kezelésektől eleinte tartottam, de már az első alkalom után teljesen megváltozott a hozzáállásom. Félelem nélkül, magabiztosan jártam vissza. Mindig pontos tájékoztatást kaptam arról, mi fog történni, és soha nem éreztem sem fájdalmat, sem stresszt. Az empatikus hozzáállás, a türelem és a figyelem hihetetlenül sokat segített abban, hogy elengedjem a régi rossz élményeimet.
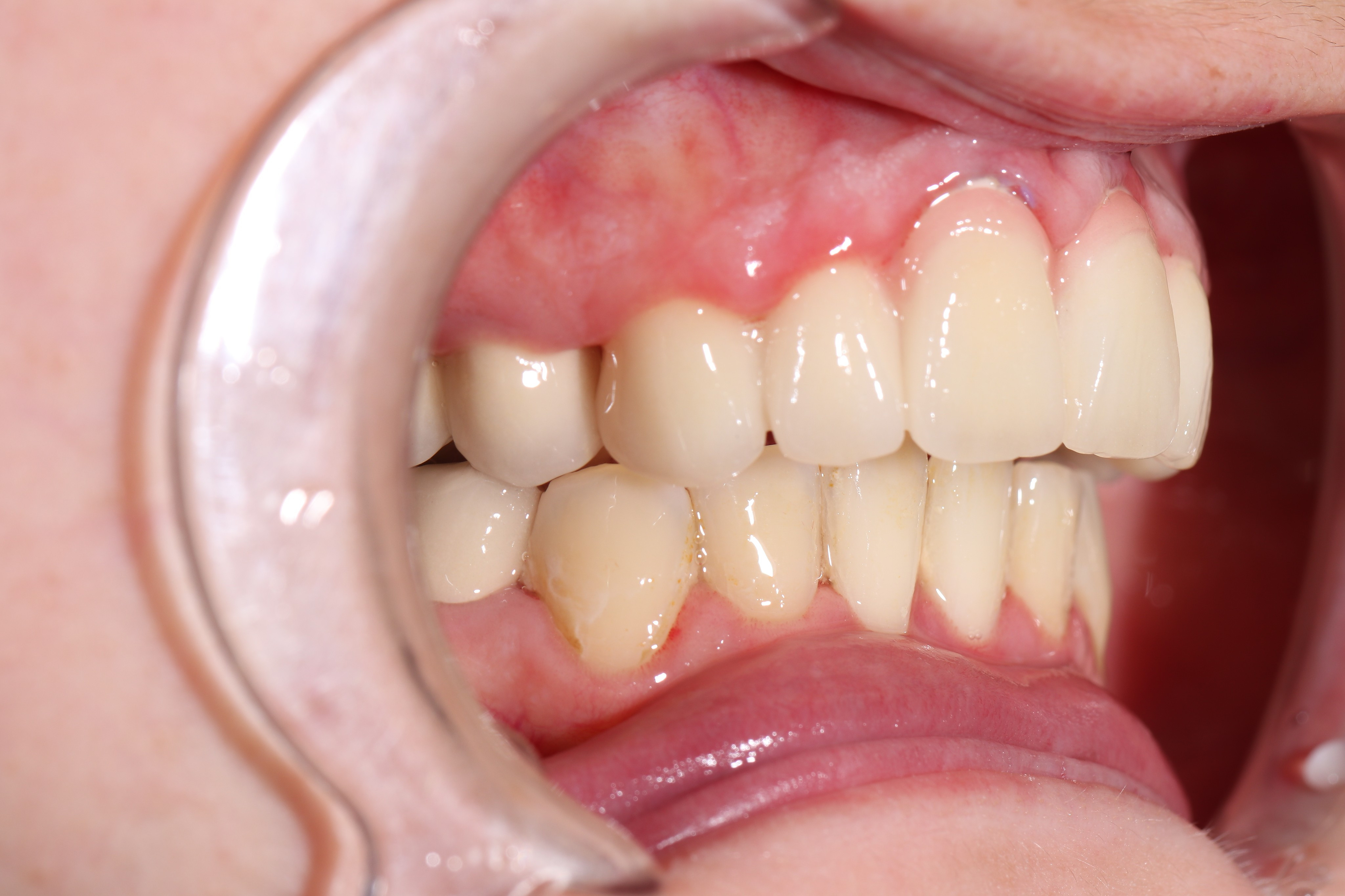
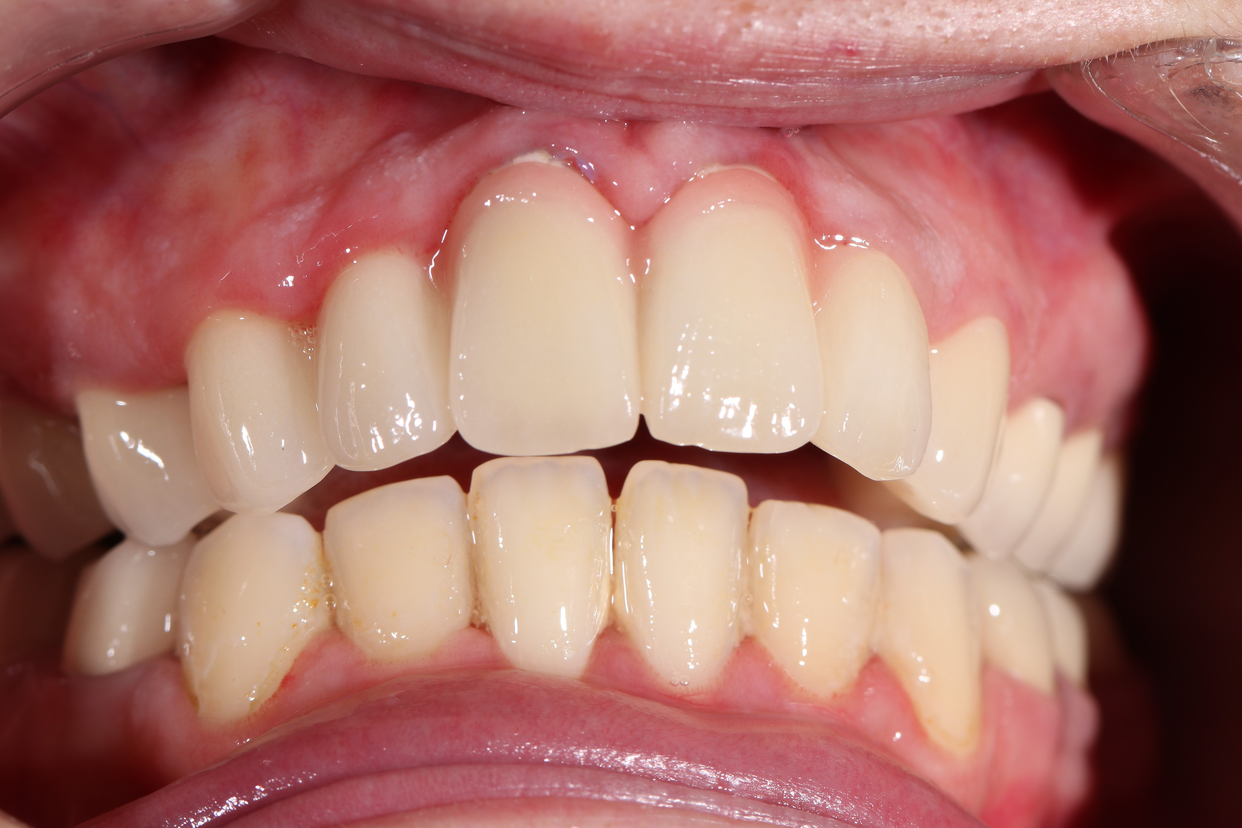
Az új mosoly


A kezelések végeredménye pedig felülmúlta minden várakozásomat. Csodás lett a mosolyom! Hosszú évek óta szégyelltem a fogaimat, sokszor nem mertem nevetni, csak visszafogottan mosolyogtam. Most viszont újra teli szájjal, felszabadultan és önbizalommal tudok kacagni. Ez hatalmas változást hozott az életembe – nemcsak külsőleg, hanem belül is.
Hála és üzenet másoknak
Hálás vagyok a Nádor Dental egész csapatának, de különösen Németh doktor úrnak, aki a szakértelme mellett emberségével és humorával is segített, hogy újra öröm legyen számomra a mosolygás.
Mindenkinek, aki hozzám hasonlóan fél, halogat, vagy rossz tapasztalatok miatt nem mer fogorvoshoz menni, csak azt tudom mondani: a Nádor Dentalban más élmény vár. Itt valóban gondoskodnak rólunk.
Tudta, hogy rendelőnkben minden kezelés kérhető éber szedálásban?
Tudjon meg többet, keressen bennünket bizalommal:
